
In the past few days, two members of Chicago media, radio host Dave Fogel and newscaster Hosea Sanders have shared that they are undergoing prostate surgery for prostate cancer. In both cases the cancers were discovered when abnormal Prostate Specific Antigen (PSA ) blood test results were followed by their doctors finding cancer on subsequent prostate biopsies.
Should every man have PSA screening. There is no universal agreement on that sticky question. I believe that men from about 50 to 75 years of age benefit from testing and careful, rationale, evaluation of abnormal results. In men with strong family histories of prostate cancer the need is even greater and may begin at a younger age. And as pointed out by Mr. Sanders, this is especially true of African-American men.
Not every abnormal result requires a biopsy, but a value abnormally high for age group, or rising steadily from previous results, needs to be evaluated. Urologists are well trained in triaging and determining when a biopsy is needed. Doesn’t this mean some men have to endure the discomfort of a biopsy when in fact they don’t have cancer? Yes, but in our laboratory practice, and in similar ones around the country, about 50% of the men whose specimens we see do in fact have cancer.
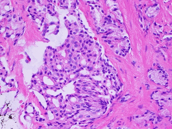
Do all men with prostate cancer need treatment? No, prostate cancer is not aggressive in all men. A great deal of the decision whether to treat or not is based on the microscopic appearance of the tumor, usually summarized as a “Gleason Score.” And it is here that my pathology associates and I in the lab have our most pitched battles.
At our daily case review we examine on a video screen every cancer case that each of us have seen that day. Most cases are straight-forward, but applying the scoring criteria in other cases is like throwing spaghetti at the wall. Only some of it will stick. Though each of us is thoroughly trained in the “rules” for the different scores and have each examined thousands of biopsies, we also bring our subjective opinions, our natural inclinations and the whispers of our teachers and national experts. The questions we ask, “Are those glands merging or just squeezed together? Is that a glomeruloid pattern or just telescoping?” do not always have a concrete answer.
What do we do to reach a consensus? We probe, we quote books and articles, we pull out pictures, we pull out our hair. We have never reached delivering blows or cussing each other out (at least aloud), but we each work hard to support our position. On some occasions we seek input from the East Coast or West Coast gurus. The elusive answers may impact how the patient faces their future. And yes, though we are behind the scenes and we rarely meet the men in question, we think of them as our patients too. That way we know we are giving them all our best.
And just as a reminder:
Please
Screen
Annually
#mc_embed_signup{background:#fff; clear:left; font:14px Helvetica,Arial,sans-serif; }
/* Add your own MailChimp form style overrides in your site stylesheet or in this style block.
We recommend moving this block and the preceding CSS link to the HEAD of your HTML file. */
Subscribe to our mailing list
//s3.amazonaws.com/downloads.mailchimp.com/js/mc-validate.js(function($) {window.fnames = new Array(); window.ftypes = new Array();fnames[0]=’EMAIL’;ftypes[0]=’email’;fnames[1]=’FNAME’;ftypes[1]=’text’;fnames[2]=’LNAME’;ftypes[2]=’text’;}(jQuery));var $mcj = jQuery.noConflict(true);